Wanita berusia 25 tahun di Amerika Serikat harus dilarikan ke rumah sakit karena masalah pencernaan. Ia mengaku sulit buang air besar selama empat bulan penuh.
Dikutip dari The Sun, wanita itu memiliki riwayat sembelit. Sampai suatu hari, ia mengeluhkan rasa sakit yang hebat dan kembung hingga dilarikan ke unit gawat darurat.
Diketahui, wanita itu memiliki riwayat sembelit kronis. Kondisi itu dimulai sejak pertama kali dilatih menggunakan toilet saat masih kecil. Dalam laporan yang dipublikasikan di jurnal Cureus, perut wanita itu terasa lembek. Bahkan, sampai meninggalkan lekukan saat ditekan.
ADVERTISEMENT
SCROLL TO CONTINUE WITH CONTENT
Proses Pemeriksaan
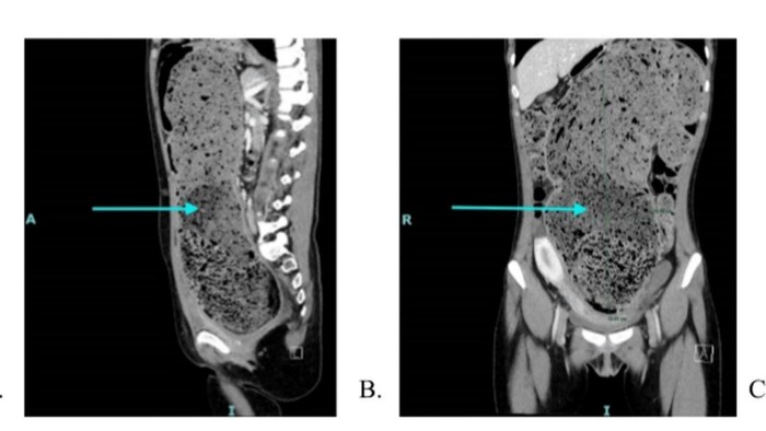
Sampai akhirnya, dokter melakukan pemeriksaan CT scan untuk melihat apa yang ada di dalam tubuhnya. Terlihat, di saluran pencernaan wanita itu dipenuhi dengan tinja atau feses, yang dikenal sebagai impaksi feses.
Impaksi feses adalah kondisi yang terjadi saat feses menumpuk di bagian terakhir usus besar. Itu menjadi komplikasi jangka panjang yang terjadi akibat sembelit.
Dokter mengungkapkan tinja yang ada di perutnya itu telah menumpuk selama berbulan-bulan. Bahkan, dokter mengungkapkan perut pasien ini seperti dipenuhi 'tanah liat' karena penyumbatan tinja yang besar.
Selain itu, dari CT scan menemukan wanita itu memiliki kolon sigmoid berlebih berdiameter 15 cm. Kolon yang panjang tidak normal yang melipat dan melilit di rongga perut, bisa juga menyebabkan sembelit.
Kolon tersebut seperti meregang dan berisi banyak tinja.
Pengobatan yang Dilakukan
Setelah mendapatkan hasil pemeriksaan, pasien memilih untuk menjalani disimpaksi manual. Itu merupakan prosedur feses yang mengeras dipecah dan dikeluarkan secara manual dengan anestesi.
Dalam kasus ini, disimpaksi harus dilakukan berkali-kali.
"Pada kolon sigmoid distal, ahli endoskopi tidak dapat memajukan kolonoskop karena kurangnya visibilitas akibat tinjanya keras. Dan pelunakannya dengan lavage tidak dapat menggerakkan feses," tulis dokter dalam laporan tersebut.
"Selain itu, praktisi tidak dapat menjangkau area tersebut secara manual, sehingga prosedur harus dihentikan," sambungnya.
Saat diperiksa, kolon pasien sangat melebar dan fesesnya menyerupai tanah liat, seperti padat dan lembab.
Pasca prosedur medis dilakukan, pasien wanita itu diberikan diet cair murni untuk membantu membersihkan ususnya. Ia mengonsumsi satu bungkus laksatif Miralax sehari, serta satu galon zat pembersih usus besar.
Sampai akhirnya, selama dirawat di rumah sakit ia berhasil buang air besar. Bahkan, sampai 21 kali buang air besar.











































