Jakarta - Fenomena fetus in fetu dijelaskan sebagai kondisi langka adanya janin di dalam janin manusia. Berikut beberapa kasus yang pernah ditemukan di dunia.
Foto Fenomena Fetus in Fetu, Ketika Hidup dengan 'Janin Parasit' di Tubuhnya
Dokter di China melaporkan kasus seorang anak perempuan berusia 1 tahun lahir dengan satu janin yang 'terperangkap' di dalam kepalanya. Ahli bedah langsung melakukan operasi karena pasien mengalami pembengkakan kepala parah, tetapi ia meninggal dua minggu kemudian karena kerusakan pada otaknya. (Foto: American Journal of Case Reports.)
Bayi laki-laki berusia empat bulan datang dengan massa di dalam testis di rongga panggul kiri yang terdeteksi selama pemeriksaan pranatal ibu pada usia kehamnilan 29 minggu. Ditemukan massa berukuran sekitar 4,0 × 3,0 cm di perut kanan bawah. Tidak ada jaringan testis yang teraba di skrotum kiri atau daerah inguinal, sementara testis kanan teraba di skrotum kanan. (Foto: Case Reports article Frontiers.)
Seorang laki-laki berusia 16 tahun datang ke rumah sakit dengan benjolan disertai nyeri di perutnya, yang pertama kali diketahui 10 tahun lalu. Setelah diperiksa, ternyata itu merupakan jaringan kembarannya yang berukuran 14x11x5 cm. (Foto: Cureus Part of Springer Nature.)
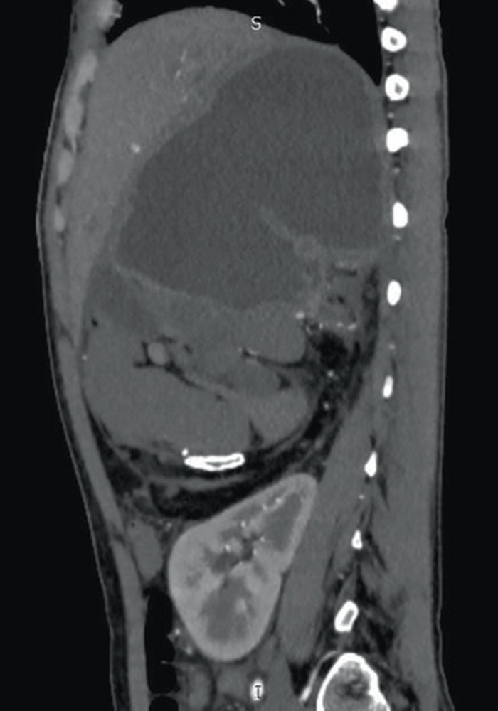
Seorang wanita 21 tahun datang ke bedah rawat jalan (OPD) dengan riwayat klinis benjolan di perut kanan atas selama 6-7 tahun, yang terus membesar disertai rasa nyeri. Ternyata ditemukan komponen jaringan lunak janin yang berukuran 22,5 x 14,1 x 12,5 cm. (Foto: Case Reports in Radiology.)











































