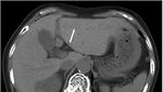
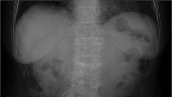
Jakarta - Dokter di Jepang menemukan jarum jahit 3 cm di hati nenek 81 tahun saat cek pencernaan. Ternyata jarum tersebut bisa masuk ke dalam tubuh lewat ini.
Foto Health
Penampakan Jarum Jahit Nyangkut di Liver Nenek Umur 81, Masuk Lewat Mana?
Rabu, 01 Okt 2025 13:12 WIB
Jarum jahit sepanjang sekitar 3 cm berhasil diangkat melalui operasi laparoskopi. Pasien pulih dengan baik dan dipulangkan empat hari setelah operasi tanpa komplikasi. (Foto: Journal of Surgical Case Reports)











































