Video 20Detik IDI: Susu Ikan Bisa Jadi Alternatif Buat Anak yang Tak Suka Makan Ikan Jumat, 13 Sep 2024 19:25 WIB
Video 20Detik Dokter Gizi Minta Pemerintah Awasi Susu Ikan dengan Kadar Gula Tinggi Kamis, 12 Sep 2024 22:48 WIB
Video 20Detik Kandungan 'Susu Ikan' yang Diusulkan untuk Program Makan Bergizi Gratis Kamis, 12 Sep 2024 18:51 WIB
Video 20Detik Kemenkes Tegaskan Vaksin Mpox di RI Sudah Disetujui WHO-BPOM Kamis, 12 Sep 2024 17:22 WIB
Video 20Detik Warga yang Sudah Vaksin Cacar Tak Usah Panik soal Varian Mpox Kamis, 12 Sep 2024 16:40 WIB
Video 20Detik Wanti-wanti Dokter pada Ibu Hamil yang Bepergian dengan Pesawat Kamis, 12 Sep 2024 13:17 WIB
Video 20Detik Kata Dokter soal Ibu Hamil Usia 8 Bulan Tak Boleh Naik Angkutan Umum Kamis, 12 Sep 2024 11:52 WIB
Video 20Detik Viral 'Susu Ikan' Diusulkan untuk Program Makan Bergizi Gratis Kamis, 12 Sep 2024 07:26 WIB
Video 20Detik Apa Itu 'Susu Ikan' yang Diusulkan untuk Program Makan Bergizi Gratis? Rabu, 11 Sep 2024 17:41 WIB
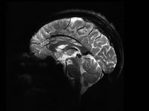
Video 20Detik Peneliti Sebut Pandemi Covid Bikin Otak Remaja Perempuan Alami Penuaan Dini Rabu, 11 Sep 2024 14:20 WIB
Video 20Detik Wafatnya Ayah Ubah Pola Pikir Kunto Aji soal Asuransi Kesehatan Selasa, 10 Sep 2024 18:47 WIB
Video 20Detik Di Sidang Dante, Ahli Forensik Jelaskan Bahaya Air Masuk ke Paru-paru Senin, 09 Sep 2024 20:10 WIB
Video 20Detik Tindak Lanjut Seusai Desa Selanbawak Masuk Zona Merah Rabies Senin, 09 Sep 2024 14:51 WIB
Video 20Detik Tanda-tanda yang Perlu Diwaspadai Sebagai Gejala Kanker Payudara Senin, 09 Sep 2024 13:31 WIB