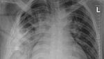
Jakarta - Begini penampakan pisau yang menancap di dada seorang pria di Tanzania. Pasien baru menyadari di tubuhnya ada pisau 8 tahun kemudian.
Foto Health
Foto-foto Penampakan Pisau Menancap di Dada, Pasien Sadar Setelah 8 Tahun
Kamis, 18 Sep 2025 09:16 WIB











































