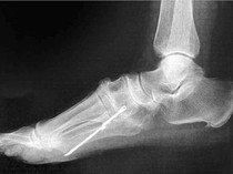
Foto Health Penampakan Batang Besi Nancap di Kaki Pasien, Baru Ketahuan Setelah 40 Tahun 8 jam yang lalu