Cerita Pemuda Harus Rutin Cuci Darah karena Gagal Ginjal Kronis di Usia 23 Minggu, 04 Jan 2026 09:50 WIB
Langka! Kisah Pasien 'Sindrom Tangan Alien', Cuma Diidap 50 Orang di Dunia Rabu, 31 Des 2025 12:02 WIB
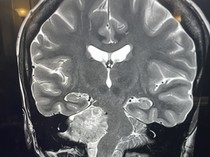
Pria Mendadak Fasih Berbahasa Asing pasca Operasi, Apa yang Terjadi di Otaknya? Selasa, 30 Des 2025 18:30 WIB
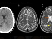
Pria Bugar Kena Stroke Lakunar, Lumpuh Setengah Badan gegara Minuman Energi Minggu, 28 Des 2025 15:08 WIB
Pria Kaget Kena Stroke padahal Hidup Sehat, Ternyata gegara Minuman Ini Minggu, 28 Des 2025 12:01 WIB
Ambisi Dokter Bedah Ingin Hidup sampai Umur 120, Ini Kebiasaan yang Dilakukan Rabu, 24 Des 2025 08:17 WIB
Kontroversi Pria China Punya 300 Anak, Punya Ambisi Bikin Dinasti Keluarga Selasa, 23 Des 2025 11:15 WIB
Cerita Gen Z Idap Kanker Payudara di Usia 24, Sudah Menopause di Umur 25 Senin, 22 Des 2025 10:15 WIB
Istri Digugat Cerai gegara Tolak Donorkan Hati untuk Suami yang Sakit Sirosis Senin, 22 Des 2025 09:38 WIB
Gadis Umur 24 Kena Kanker Stadium 3, Abaikan Gejala karena Merasa Masih Muda Minggu, 21 Des 2025 15:07 WIB
Pria Alami Nasib Sial, Niat Operasi Kantong Empedu Endingnya Divasektomi Minggu, 21 Des 2025 13:04 WIB
Langka! Ibu Ini Lahirkan Bayi dari Kehamilan di Luar Rahim dengan Kista Hampir 10 Kg Sabtu, 20 Des 2025 16:03 WIB
Curhat Wanita Alami Menstruasi Tiap Hari Selama Setahun, Apa Penyebabnya? Rabu, 17 Des 2025 20:02 WIB
Pria Ini Nekat Eksperimen Tak Makan 7 Hari Penuh, Ini yang Terjadi pada Tubuhnya Minggu, 14 Des 2025 12:01 WIB
Disangka Sakit Perut Biasa, Wanita Ini Ternyata Mengalami Gejala Kanker Agresif Sabtu, 13 Des 2025 15:07 WIB
Dokter Gadungan Nekat Operasi Modal Nonton YouTube, Nyawa Pasien Melayang Jumat, 12 Des 2025 12:35 WIB
Coba Tantangan Ekstrem, Pria Ini Masuk RS usai Makan 38 Nugget-2 Kg Steak Minggu, 07 Des 2025 15:05 WIB