Dia merasakan sakit perut, mual, konstipasi yang 'penuh', nyeri di kaki selama tiga hari dan tak bisa bergerak selama 24 jam. Ketika diperiksa oleh dokter, ia tak dapat menemukan adanya denyut jantung di kaki kanannya dan mulai mendingin karena berhentinya aliran darah.
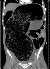
Hasil pindaian pada tubuhnya menunjukkan adanya setumpuk besar feses di ususnya. Tumpukan feses yang berjumlah 2 liter ini menekan keras arteri iliac kanan, merupakan pembuluh darah besar yang mengalirkan darah ke kaki kanannya.
ADVERTISEMENT
SCROLL TO CONTINUE WITH CONTENT
Hasil pindaian menunjukkan ada 2 liter feses di usus Foto: BMJ Case Reports |
Segera setelah ditemukan penyebabnya, dilakukan operasi untuk mengangkat feses tersebut. Aliran darahnya kembali lancar dan bengkak pada abdomennya hilang, iapun dipindahkan ke bagian intensive care unit (ICU) untuk pemulihan.
Ia berada di ICU selama empat hari, 13 hari setelah operasi ia mampu untuk berjalan lagi tanpa bantuan. Dan akhirnya ia keluar dari rumah sakit setelah 23 hari dan dijadwalkan untuk check up delapan minggu lagi.
Dr Simon Ho, dokter yang menangani pria tersebut menyebutkan bahwa kondisinya masih misteri. Karena belum bisa dijelaskan mengapa ada dua liter feses bisa menumpuk dalam usus seseorang dan penyebab konstipasi tersebut.
Dokter yang bekerja di Footscray Hospital Australia ini menyebutkan konstipasi bisa terjadi pada siapa saja, baik orang dewasa dan anak-anak. Namun sangat jarang konstipasi bisa menyebabkan penumpukan feses sebanyak itu.
"Faktor makanan bisa jadi penyebab utamanya. Tidak makan cukup serat, tidak minum cairan cukup banyak, misalnya. Kurang olahraga, menahan kencing, stres, cemas, depresi dan beberapa obat juga bisa jadi penyebabnya," ungkap Dr Ho, dikutip dari The Sun.
Ia menyebutkan bahwa kasus pria tersebut merupakan kasus darurat, dan diagnosis sementaranya adalah abdominal compartment syndrome. Jika terlambat sedikit saja penanganan pada pria tersebut, aliran darah yang terhenti bisa menyebabkan banyak kegagalan organ dan kematian.
Tonton juga 'Ini Dampak Konstipasi BAB pada Anak':
(frp/up)












































Hasil pindaian menunjukkan ada 2 liter feses di usus Foto: BMJ Case Reports