Foto Health Inovasi Endoskopi Minim Invasif dari Mesir Bantu Atasi Akalasia Berat Selasa, 30 Sep 2025 21:30 WIB
Foto Health Ramai-ramai Periksa Kesehatan Gratis Bareng YJI, Warga Kaget Tensi-Kolesterol Tinggi Minggu, 28 Sep 2025 15:00 WIB
Picture Story Bingkai Sepekan: MBG Jadi Polemik, Menu Minim Gizi-Ribuan Keracunan Sabtu, 27 Sep 2025 07:00 WIB
Foto Health Potret Pilu Ribuan Anak Sekolah Jadi Korban Makan Bergizi Gratis Kamis, 25 Sep 2025 13:10 WIB
Foto Health Sudan Dilanda Wabah Demam Berdarah dan Kolera di Tengah Krisis Kesehatan Kamis, 25 Sep 2025 09:00 WIB
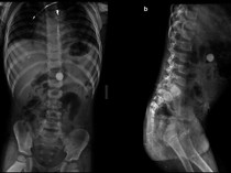
Foto Health Foto-foto Rontgen Temuan Benda Aneh dalam Tubuh, Paku hingga Kawat Besi Rabu, 24 Sep 2025 18:03 WIB
Foto Health Potret Pabrik Nyamuk Super untuk Lawan Demam Berdarah di Brasil Senin, 22 Sep 2025 18:00 WIB
Asah Otak Sekilas Sih Terlihat Mudah, Tapi Cuma Si Jago Ngitung yang Bisa Jawab dengan Benar! Minggu, 21 Sep 2025 20:03 WIB
Foto Health Warga Makassar Antusias Ikuti Baksos Kesehatan: Operasi Katarak hingga Bibir Sumbing Minggu, 21 Sep 2025 15:00 WIB
Foto Health Bulan Kesehatan Gigi Nasional 2025: Dari Edukasi Hingga Perawatan Gratis Minggu, 21 Sep 2025 14:15 WIB
Foto Health Potret Anak-anak Jalani Imunisasi Gratis, Para Ortu Antusias Sabtu, 20 Sep 2025 20:00 WIB
Foto Health Waspada DBD, Pemukiman Padat di Jakarta Disemprot Asap Anti Nyamuk Sabtu, 20 Sep 2025 14:27 WIB
Deretan Alat Medis Jadul yang Bikin Merinding, Kalau Masih Ada Berani Coba? Jumat, 19 Sep 2025 20:01 WIB
Foto Health Foto-foto Penampakan Pisau Menancap di Dada, Pasien Sadar Setelah 8 Tahun Kamis, 18 Sep 2025 09:16 WIB