Curhat Wanita Rahimnya Baru 'Tumbuh' di Usia 21 Tahun gegara Penyakit Langka Senin, 16 Sep 2024 12:02 WIB
Binaragawan 'Paling Menakutkan di Dunia' Meninggal di Usia 36, Kena Serangan Jantung Jumat, 13 Sep 2024 16:00 WIB
Ngeri! Wanita Ini Tertusuk Batang Logam Berkarat Sepanjang 60 Cm di Rektumnya Rabu, 11 Sep 2024 20:00 WIB
Kronologi Remaja India Tewas usai Dioperasi, Dokter Diduga Belajar dari YouTube Rabu, 11 Sep 2024 18:02 WIB
Kondisi Terkini Pria di AS usai Jalani Transplantasi Mata dan Wajah Pertama di Dunia Selasa, 10 Sep 2024 16:59 WIB
Geger Wanita Punya Klitoris 10 Kali Lebih Besar dari Ukuran Normal, Ini Sebabnya Senin, 09 Sep 2024 10:00 WIB
Wanita Ini Idap Kondisi Langka, Klitorisnya 10 Kali Lebih Besar dari Ukuran Normal Minggu, 08 Sep 2024 12:13 WIB
Cerita Pria Jepang Ngaku Hanya Tidur 30 Menit Setiap Hari, Fisiknya Jadi Sorotan Minggu, 08 Sep 2024 11:00 WIB
Kronologi Dokter di Irlandia Salah Diagnosis, Gejala Kanker Dikira Nyeri Haid Sabtu, 07 Sep 2024 16:00 WIB
Dokter Salah Diagnosis, Nyeri Perut Dikira Haid Ternyata Gejala Kanker Ganas Jumat, 06 Sep 2024 20:00 WIB
Keluhkan Napas Bau, Ternyata Dokter Temukan Kecoak Mati di Tenggorokan Pasien Rabu, 04 Sep 2024 21:00 WIB
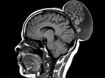
Ngeri! Wanita Ini Punya Benjolan Seperti Sanggul di Kepala, Isinya Ternyata Kista Selasa, 03 Sep 2024 17:04 WIB
Kisah Pria Kena Infeksi Langka di Mr P gegara Makan Nasi, Ini Awal Mulanya Selasa, 03 Sep 2024 15:01 WIB
Terobsesi Punya Bokong Bak Kim Kardashian, Nasib Influencer Ini Berakhir Tragis Senin, 02 Sep 2024 08:31 WIB
Potret Wanita Doyan Oplas gegara Terobsesi Jadi 'Catwomen', Mukanya Jadi Begini Rabu, 28 Agu 2024 12:12 WIB
Geger Pasien Diabetes Hilang saat Berobat, Berakhir Ditemukan di Kamar Mayat Rabu, 28 Agu 2024 10:30 WIB
Cerita Pria Pangkas BB 40 Kg Demi Selamat dari Kematian, Ini Diet-Olahraganya Senin, 26 Agu 2024 14:00 WIB