Wabah Penyakit Serang Otak 'Menggila' di Inggris, Bisa Menyebar ke Wilayah Lain? Senin, 23 Mar 2026 06:03 WIB
9 Makanan yang Bantu Turunkan Kolesterol, Cocok Dimakan saat Momen Lebaran Senin, 23 Mar 2026 05:15 WIB
Ternyata Jenis Diet Ini Bisa Cegah Otak Menciut, Perlambat Penuaan Otak hingga 2,5 Tahun Minggu, 22 Mar 2026 18:01 WIB
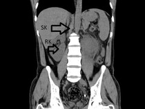
Pria Ini Idap Kondisi Langka Punya 3 Ginjal, Tak Sengaja Ketahuan saat ke Dokter Minggu, 22 Mar 2026 17:01 WIB
Kalap Opor dan Daging Saat Lebaran, Kapan Waktu Terbaik Minum Simvastatin? Minggu, 22 Mar 2026 15:06 WIB
Pakar Farmasi Ingatkan Simvastatin Bukan Penetral Lemak usai Kalap Opor-Rendang Lebaran Minggu, 22 Mar 2026 10:33 WIB
Panas Menyengat di RI, Mungkinkah karena Gelombang Panas? BMKG Bilang Gini Minggu, 22 Mar 2026 09:17 WIB
Singapura Tarik Nanas Kering, Ada Zat Alergen Rentan Picu Biduran-Diare Minggu, 22 Mar 2026 08:15 WIB
Doyan Makan Enak? Pilih-pilih Alat Berkualitas Biar Tak Tercemar Kimia Berbahaya Sabtu, 21 Mar 2026 12:02 WIB
Mengapa Banyak Orang Merasa Harus 'Tampil Sukses' saat Lebaran? Ini Kata Psikiater Sabtu, 21 Mar 2026 11:05 WIB
Menyoal 'Lebaran Blues', Cemas-Takut Hadapi Pertanyaan saat Silaturahmi di Hari Raya Sabtu, 21 Mar 2026 08:05 WIB
Cemas Kolesterol Jahat Melonjak saat Makan Opor Ayam-Rendang? Catat Saran Dokter Sabtu, 21 Mar 2026 07:05 WIB
Nyetok Simvastatin Biar Bisa Kalap Makan Saat Lebaran? Hati-hati, Ini Risikonya Sabtu, 21 Mar 2026 06:02 WIB
Pria 31 Tahun Niat Berobat gegara ISK Parah, Dokter Malah Temukan Ginjal Ketiga Jumat, 20 Mar 2026 16:38 WIB